I casi clinici forniscono uno spunto di valutazione sui lavori con pazienti dei professionisti che hanno scelto la qualità e la professionalità del nostro laboratorio. A questi và un ringraziamento particolare per la gentile concessione delle foto cliniche.
Carico immediato con impianti e conometria Leone
Primo caso mai realizzato in chirurgia guidata con carico immediato in conometria con impianti Leone e direttamente definitivo.

Prova estetica montaggio

cone beam

Prova estetica con reperi radiopachi

anatomia

pianificazione

guida chirurgica

Scan Body per MUA virtuali inseriti da pianificazione

3 componenti: MUA + adattatore Conic + cappetta Fixed

Modellazione protesica

modellazione protesica

protesi

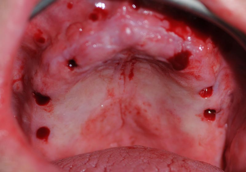
mucotomia

Fissaggio della guida chirurgica con pin con l’ausilio dell’indice in silicone

Passaggio della fresa pilota

Passaggio della fresa Zero1

Cambio del carrier su apposito blocchetto

Inserimento guidato dell’impianto

Impianti posizionati

Posizionamento dei MUA negli impianti in base alla posizione progettata

Adattatori Conic avvitati sui MUA

Cappette Fixed sui monconi conometrici

Fissaggio della protesi con cemento

Fissaggio della protesi con cemento

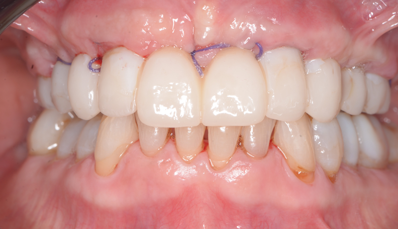
Protesi definitiva posizionata in bocca

OPT finale
Arcata superiore post estrattiva resettiva e carico immediato (Dr. Giuseppe Marano – Roma)
Paziente molto giovane e cambio estetico molto importante, con altrettanto importante resettiva ossea del mascellare superiore.
Qui oltre all’indispensabile conoscenza e bravura chirurgica, brillantemente eseguita da Dott. Giuseppe Marano di Roma con il quale ho il piacere di collaborare e ringrazio per le immagini, c’è stato un profondo e attento progetto protesico in laboratorio.
Qui NON si poteva sbagliare nulla… in tutti i casi che seguo di chirurgia guidata, non lascio niente al caso, ma per questo caso chiaramente ancora di più.
Ogni passaggio è stato controllato, ricontrollato, e validato, sono state effettuate molteplici stampe del mascellare con e senza resettiva, delle guide e del provvisorio, per poter testare le guide ecce cc, posso dire serenamente, con orgoglio e non con vergogna, che questo caso mi ha tenuto impegnato due mesi pieni, per la sua “PROGETTAZIONE” e “REALIZZAZIONE”

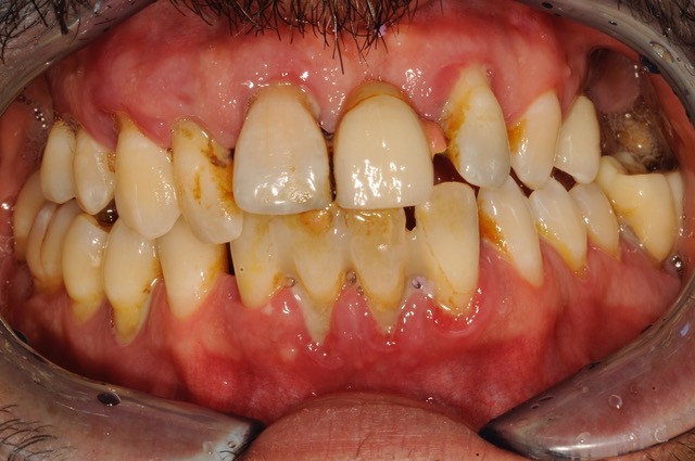
Situazione iniziale

SITUAZIONE INIZIALE

Inizio studio del caso

Simulazione 2D situazione linee ideali

Situazione iniziale e simulazione a confronto

Situazione iniziale e simulazione a confronto

Matching DCM Stl

Matching effettuato

Segmentazione del mascellare, senza i denti

Segmentazione eseguita

Sovrapposizione mockup DCM e Mascellare segmentato 1

Mockup su mascellare segmentato

Pianificazione implantare al software Real-Guide

Pianificazione implantare in trasparenza

Studio del taglio, adattamento del mascellare alla pianificazione implantare, anche in armonia della pianificazione protesica

Taglio per resettiva previsto

Visione del mascellare con resettiva effettuato, e progettazione protesica

Modellazione 3D della guida chirurgica scomposta

Guida chirurgica primaria su modello stereotipato, la guida è realizzata in titanio e colorata tramite tecnica di anodizzazione

Parte secondaria della guida chirurgica, che si lega alla prima tramite dei mua montati per questo scopo

Provvisorio, che è rapportato alla guida chirurgica per un correto riporto dal progetto al cavo orale

Fasi dell’intervento (Dott. Marano Giuseppe – Roma)

Fasi dell’intervento (Dott. Marano Giuseppe – Roma)

Fasi dell’intervento (Dott. Marano Giuseppe – Roma)

Fasi dell’intervento (Dott. Marano Giuseppe – Roma)

Posizionamento tramite fissazione alla guida primaria del provvisorio, realizzato con resina stampata della Graphy

Controllo a 2 giorni, si noti ancora il gonfiore del viso

Controllo a 15 giorni

Controllo a 15 giorni
Carico immediato post estrattivo dell’arcata superiore ed inferiore eseguita contemporaneamente






Carico eseguito a 48 ore, non in guidata, Dr. Domenici Claudio – Roma


Carico eseguito a 48 ore, non in guidata, Dr. Domenici Claudio – Roma

Corona in Allumina su 1.5 – Dr. Barbalace (SO)

1.5 IN ALLUMINA VESTIBOLARE PRIMA

1.5 IN ALLUMINA OCCLUSALE DOPO

1.5 IN ALLUMINA DOPO
CORONA in metallo ceramica su impianto

SITO INIZIALE CORONA ALLUMINA

CORONA ALLUMINA SU IMPIANTO A SEI ANNI
Corona in zirconio – Dr. Barbalace (SO)

CORONA IN ZIRCONIO 1

CORONA IN ZIRCONIO 2
Corone in disilicato Dr. Raeli (RM)

CONOIDI (PRIMA)

Conoidi Appena cementati EMPRESS
Due Arcate primo provvisorio Dr. Barbalace (SO)











Intarsi composito Dr. Barbalace (SO)





TORONTO



Dr. Raeli (RM)

PRIMA

DOPO

PRIMA

DOPO

PRIMA

DOPO
Totale superiore: carico immediato protesi definitiva chirurgo Dr. M. Marchetti
[Scarica QUI il caso completo]


FACCETTE EMPRESS Dr. Barbalace (SO)

PROTESI DA SCANSIONE

Contattaci.